Traumatologie : Fractures chez les chiens et les chats
Plateau technique
Systèmes d'implants spécifiques. Le bloc d'orthopédie est équipé de la plupart des implants et systèmes de pose disponibles sur le marché pour permettre les interventions sur le squelette appendiculaire (membres), dans le domaine maxillo-facial et sur le squelette axial (colonne vertébrale).
Système AO (association pour l'orthopédie) en traumatologie. Le système AO Synthèse pour la traumatologie comprend une série de sets d'implants pour la chirurgie orthopédique des carnivores domestiques, quelle que soit la taille du patient. Nous utilisons déjà depuis de nombreuses années le système de vis verrouillées LCP qui est le résultat des derniers avancements technologiques dans le domaine de l'orthopédie vétérinaire.

Ce système en combinaison avec les systèmes plus anciens permet de traiter la totalité des indications relevant d'une intervention à foyer ouvert par fixation interne. Il assure une sécurité et une stabilité des montages inégalée à ce jour.
Le système LCP ouvre par ailleurs un champ de traitement très large, notamment dans le traitement de pathologies orthopédiques complexes comme les non-unions, le pseudarthroses atrophiques ou les chirurgies correctrices des défauts d'aplombs.

Ostéosynthèse d'une non-union de l'olécrane ancienne de plus de trois mois par utilisation d'une plaque LCP mixte pour vis verrouillées de diamètre 2,4mm en Tête de plaque et 3,5 mm en Queue plaque

- Ostéosynthèse olécrane
- Ostéosynthèse ol"crane chie
Fixateurs externes. Historiquement, les fixateurs externes sont une des premières techniques de traitement chirurgical des fractures à avoir été utilisés (Lambotte 1902). C'est une technique, aux champs d'application quasi-universels, est actuellement, en chirurgie vétérinaire, principalement réservée aux de traitements des fractures ouvertes, des infections osseuses et de toutes les indications pour lesquelles les méthodes de fixation interne ne sont pas utilisables : le suivi post opératoire laborieux fait qu'on limite cette technique aux indications pour lesquelles elles demeurent incontournables. La possibilité de mise en place à foyer fermé est un de leur principal atout, l'utilisation d'un amplificateur de brillance est dans ce domaine incontournable. La clinique est équipée d'un amplificateur de brillance numérique de dernière génération qui permet le recours à cette technique dans les conditions optimales pour le patient.

- Fracture ouverte grave avec dislocation tarsienne chez un chien
- Traitement par Fixateur externe type Ménard
Clous et broches. Les clous et les broches sont une des méthodes fondamentales de traitement des fractures. Les broches sont aussi utilisées comme moyens de stabilisation temporaire dans un grand nombre de procédures de chirurgie réglée. Si ces techniques d'ostéosynthèse permettent de traiter de façon élégante un grand nombre d'affections, leur stabilité relative en rotation constitue leur principale carence, c'est pourquoi elles doivent souvent être associées à d'autres techniques de stabilisation du foyer : résine ou fixateur externe complémentaire (on parle alors de technique "Tied-in"). Leurs grandes versatilités en font toujours un traitement de choix notamment en orthopédie du squelette juvénile où, utilisée en synergie avec l'amplificateur de brillance, ils permettent (en opérant à foyer fermé) le plus souvent de traiter efficacement la plupart des fractures du jeune (cf infra). C'est dans ce domaine qu'ils trouvent leur principal champ d'indication.
Moteurs et ancillaires de pose. La mise en place des implants de chirurgie orthopédique passe par l'utilisation d'instruments ancillaires et de moteurs spécifiques.

Ancillaire de pose Synthèse
La clinique vétérinaire Domitia est équipée de moteurs d'orthopédie dédiés à propulsion pneumatique. Ces moteurs sont constitués d'une pièce à main sur laquelle viennent s'adapter les accessoires : mandrins, pousses broches, scies à os ou fraises... Ils se déclinent en moteurs pour les gros fragments (système compact air drive "CAD"), en moteur pour les petits fragments (système "Air Pen"), en une scie oscillante spécifique pour les ostéotomies de nivellement du plateau tibial (scie à TPLO) et en un moteur de neurochirurgie (Surgairtome 2). Tous ces appareils sont des outils spécifiquement destinés à la chirurgie orthopédique et sont aussi largement utilisés en chirurgie humaine. Ils sont étudiés pour être stérilisés en chaleur humide (autoclave) et sont le garant d'un exercice chirurgical spécifique respectueux des règles fondamentales de prévention des infections nosocomiales.

Scie Sécuros dédiée pour TPLO

Moteur CAD Synthès pour gros fragments

Moteur Air Pen Synthès pour petits fragments
Amplificateur de Brillance. L'amplificateur de brillance est un système de radiologie avec contrôle vidéo. Il permet la réalisation des interventions d'orthopédie à foyer fermé. Ses champs d'application principaux sont : l'enclouage des fractures diaphysaires et métaphysaires à foyer fermé, la pose des fixateurs externes, la pose d'implants en chirurgie du rachis. Il s'agit d'un élément fondamental de la chirurgie orthopédique moderne. Il permet un contrôle sur de la position des implants tout en réduisant à sa plus simple expression le traumatisme chirurgical.

Amplificateur de brillance.
Traumatologie
La traumatologie est la branche de la chirurgie orthopédique qui s'intéresse à la réparation des fractures. Les traitements orthopédiques non-chirurgicaux sont rarement applicables en médecine vétérinaire du fait de la grande difficulté d'immobiliser correctement les membres de nos compagnons à quatre pattes, c'est pourquoi le recours à la chirurgie est souvent incontournable. Il s'agit d'une chirurgie réparatrice. Le type de réparation osseuse (ostéosynthèse) dépend de plusieurs facteurs : rayon osseux concerné, âge du patient, nature du traumatisme, etc. Pour la simplicité du suivi post-opératoire, on privilégie autant que faire se peut les techniques de fixation interne.
Squelette appendiculaire. La traumatologie des membres se divise en traitement des fractures des os longs qu'elles soient diaphysaires (partie centrale de l'os) ou épiphysaires (extrémités de l'os) et en fractures articulaires. De nos jours, la plupart des types fracturaires sont répertoriées en médecine vétérinaire et leur traitement suit une méthodologie réglée, similaire à celle couramment appliquée en médecine humaine. Le type de traitement dépend à la fois de cette codification et des préférences de l'opérateur dans le panel de solutions qui sont à sa disposition.
Les fractures diaphysaires. Ce sont les fractures qui intéressent la partie centrale de l'os. Techniquement, elles peuvent être traitées soit par plaques vissées, soit par fixateur externe, soit par enclouage centro-médullaire. Si pour les fractures ouvertes le traitement par fixateur externe est souvent incontournable, en médecine vétérinaire, on privilégie normalement les traitements par plaques vissées chez les animaux adultes et les traitements par enclouage fasciculé à foyer fermé pour les animaux en croissance.

Fracture diaphysaire chez un chiot de trois mois traitée par enclouage fasciculé à foyer fermé sous contrôle fluoroscopique de l'amplificateur de brillance (le matériel a été retiré à trois mois).
Chez l'adulte, l'ostéosynthèse par enclouage n'est normalement pas recommandée et les ostéosynthèses par plaque vissée sont les techniques privilégiées.

Fracture diaphysaire du fémur traitée par plaque DCP chez un chien adulte
Les fractures épiphysaires. Ce sont les fractures de l'extrémité des os long. Si elles peuvent concerner les animaux adultes, elles sont surtout critiques et répandues chez l'animal en croissance du fait de la présence des cartilages de conjugaison (cartilages de croissance). Elles revêtent une importance toute particulière puisque, touchant la zone de croissance, elles peuvent altérer celle-ci de façon irréversible en induisant de graves déformations osseuses. Leur traitement chirurgical est impératif. Il fait appel à l'utilisation de broches et éventuellement de vis, les implants doivent absolument préserver le fonctionnement des cartilages de croissance sans les ponter, au risque de conduire à leur fermeture prématurée. Une immobilisation complémentaire du foyer de fracture par une résine ou une attelle complémentaire est souvent nécessaire pour protéger le montage par broche. La grande capacité de consolidation du squelette juvénile permet d'obtenir des cicatrisations rapides et des remises en charges précoces avec retrait très rapide de l'immobilisation.

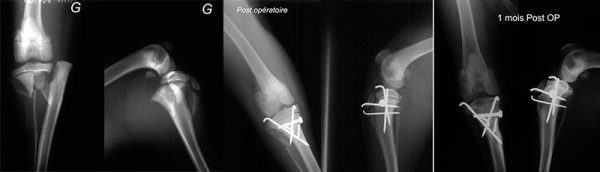
Fracture complexe. Salter 2 de l'épiphyse proximale du tibia avec arrachement tubérositaire chez un chiot de 5 mois, traitée par broches et vissage interfragmentaire. Intervention à foyer ouvert ménagé sous contrôle fluoroscopique.
Attention, chez les carnivores domestiques, le grasset (genoux) ne doit jamais être immobilisé, au risque d'engendrer une très grave maladie fracturaire avec contracture du quadriceps et verrouillage de l'articulation en extension. Les conséquences fonctionnelles sont catastrophiques et en général irréversibles.
Chez l'adulte, l'épiphyse n'est plus discernable de la diaphyse et on parle plutôt de fractures distales ou juxta-articulaires. La taille souvent très réduite du fragment osseux distal peut constituer un challenge chirurgical. L'avènement des systèmes de plaques à vis verrouillées en médecine vétérinaire est un progrès incontestable pour le traitement de ces fractures. Chez l'adulte, les temps de consolidations plus longs rendent souvent hasardeux les traitements par broches sans immobilisation complémentaire.
Attention, chez les chiens de race Toy (chihuahua, yorkshire, caniche nain), pour des raisons vasculaires, l'immobilisation du membre antérieur ne doit jamais être pratiquée, elle suppose un très grand risque de déminéralisation osseuse avec non-union et pseudarthrose atrophique. Le traitement chirurgical des fractures de l'avant-bras (distales ou diaphysaires) dans ces races est incontournable.
Les fractures articulaires. Ce sont les fractures qui intéressent toute ou une partie d'une articulation. Leur traitement passe par une réduction anatomique et une ostéosynthèse très précise. Ce sont, parmi les fractures, celles qui peuvent poser les plus gros problèmes au chirurgien : notamment au niveau du coude et du cotyle (articulation de la hanche). C'est dans ce domaine de la chirurgie orthopédique que le recours au scanner trouve ses indications les plus importantes. Les scanners hélicaux modernes permettent de faire des reconstitutions 3D du squelette et, grâce à leur capacité de dessuperpostion, apportent des informations pré-opératoires fondamentales auxquelles la seule radiologie conventionnelle ne donne pas accès.
Sur le cotyle, le scanner permet d'apprécier aisément les fractures des colonnes ventrale et dorsale, du bord dorsal, transverses et complexes, et leurs extensions sur le cadre obturateur. Il est un complément fondamental aux incidences radiologiques conventionnels (vue de face, de profil, obliques alaire et obturatrice).

Fracture de la colonne ventrale avec extension au bord dorsal du cotyle chez un chien, reconstruction scanner 3D VR pré-opératoire

Fracture de la colonne ventrale avec extension au bord dorsal du cotyle chez un chien, traitement par plaque vissée Unilock reconstruction scanner 3D VR post-opératoire
Sur le coude, la capacité de dessuperposition spatiale du scanner a transformé l'approche de cette articulation ces dix dernières années, particulièrement dans la sémiologie de la dysplasie, des incongruences et des atteintes du compartiment médial. En traumatologie, les reformatages multiplanaires et les reconstructions 3D VR sont un atout important pour la planification préopératoire.


Photos pré-opératoires.


Photos post-opératoire.
Fracture en Y du coude chez un chien de race labrador avec comminution supra-condylienne.
Ostéosynthèse par plaque vissée LCP pour vis de 3,5mm.
La diaphyse et les condyles sont abordés par voie médiale.
Squelette Axial. Ce sont les fractures qui intéressent la colonne vertébrale. Le premier défi pour l'orthopédiste vétérinaire, avec la traumatologie du rachis, est de pouvoir évaluer le plus sûrement possible l'atteinte neurologique consécutive de la fracture. Dans la très grande majorité des cas, les lésions sur le tissu nerveux sont irréversibles et interdisent d'envisager un traitement chirurgical permettant un résultat fonctionnel satisfaisant. L'examen neurologique préalable est donc l'élément clef de la décision chirurgicale et de sa perspicacité. Normalement, les fractures sur les territoires médullaires crânialement à la cinquième vertèbre lombaire (L5) sont d'un très mauvais pronostic. Caudalement à L6, la moelle épinière s'arrête pour se prolonger par les nerfs de la queue-de-cheval (territoires radiculaires), ceux-ci sont beaucoup moins sensibles aux étirements et aux cisaillements, et malgré des déplacements parfois conséquents des fragments, les déficits nerveux restent limités et permettent d'envisager de façon raisonnable une intervention chirurgicale.
Ostéosynthèse Unilock du rachis chien
Fracture du corps de L5 avec déplacement lombaire ventrale. Ostéosynthèse par plaque Unilock avec implantation des vis dans la racine des apophyses épineuses.
L'examen neurologique préalable indiquait une sensibilité douloureuse conservée avec préservation des motoneurones périphériques.
Parmi les fractures du rachis lombaire, la fracture de L7 avec glissement ventral de S1 et du sacrum est une des plus fréquemment rencontrées. Son traitement chirurgical, qui passe par la réduction du déplacement et par la mise en place de broches trans-iliaques, donne normalement de très bons résultats fonctionnels.
Crâne et lésions maxilo-faciales. Les traumatismes crâniens sont très fréquents en médecine vétérinaire. Outre les lésions de la boite crânienne aux conséquences d'ordinaire catastrophiques, un grand nombre de traumatismes intéresse la mâchoire, particulièrement au niveau de la mandibule. Les fractures du maxillaire sont plus rares et sont généralement traitées par cerclages inter-fragmentaires. Les fractures des branches mandibulaires peuvent être traitées par cerclages pour les simples dissociations de la symphyse, les fractures du corps de l'os sont traitées soit par plaques vissées Unilock, soit plus rarement par fixateurs externes. Les superpositions osseuses, très nombreuses au niveau du crâne, rendent difficiles l'évaluation lésionnelle avec le seul examen radiologique et le scanner trouve dans ce domaine un autre de ses champs majeur d'application en chirurgie vétérinaire.
Chirurgie orthopédique correctrice
C'est la partie de la chirurgie orthopédique qui s'attache à corriger des déformations osseuses ou articulaires invalidantes pour le patient. Ces troubles peuvent avoir une origine congénitale ou acquise.
La chirurgie correctrice couvre un très grand domaine en orthopédie vétérinaire. Il peut s'agir de la correction de troubles congénitaux comme la dysplasie de la hanche, du coude, ou de la rotule, mais aussi des troubles de croissance avec déformations osseuses entrainant des déformations très invalidantes dont la cause peut aussi être congénitale suite à un traumatisme juvénile mal cicatrisé.
Cette chirurgie fait appel à des techniques d'ostéotomie, d'ablation ou de fusion de certains segments osseux. Ainsi, dans le traitement de la dysplasie de la hanche, lorsque celle-ci est détectée très tôt, il peut être pratiqué une symphysiodèse pubienne ou, si elle est détectée plus tardivement, une triple ostéotomie pelvienne. Ces interventions ont pour objectif de modifier la position des os dans l'articulation afin de la soulager et de faire disparaître la boiterie tout en limitant l'évolution de l'arthrose. De nombreuses options thérapeutiques existent aussi pour la correction de la dysplasie du coude ou de la rotule. Tous ces traitements font appel à des concepts de biomécaniques complexes et requièrent l'établissement d'un diagnostic lésionnel précis passant par la réalisation d'examens radiographiques, voire tomodensitométriques (scanner) approfondis.
La plupart des interventions de chirurgie correctrices sont dites de "chirurgie réglée" et répondent à une méthodologie rigoureuse. L'arrivée des systèmes d'implants verrouillés (LCP) a dans ce domaine aussi permis des avancées majeures ces dernières années en médecine vétérinaire. Les plus grands progrès dans ce domaine concernent la correction des troubles de la statique fémorale (génu-varum) participant aux luxations de la rotule chez les chiens de grands formats, mais aussi les corrections des troubles de croissance des segments osseux doubles comme l'avant-bras (radius et ulna) et de la jambe (tibia et fibula).